
近期,我院眼科沈沛阳主任带领团队,通过系统化、分阶段的精准治疗,成功为一位62岁女性患者完成高难度眼内重建治疗,让徘徊在失明边缘的她重获清晰视觉,重拾生活希望。


这是一场极具挑战的诊疗。该患者右眼因视网膜脱离仅存手动视力,左眼成为其感知世界的唯一窗口,却遭遇超高度近视、7年视网膜黄斑裂孔性脱离合并白内障的多重病变。长期的视网膜脱离导致眼部组织受损严重,手术复位难度大、容错率近乎为零。如何在高风险中确保手术成功,对团队的专业能力提出严峻考验。



面对复杂病情,沈沛阳主任带领团队开展疑难病例专项研究,摒弃冒进治疗方式,确立“先清障,再固本,后归真”的分阶段诊疗战略。在长达102天的系统化治疗中,为患者实施系统化眼内重建。从清除光学通路障碍、完成眼底结构修复加固,到最终实现眼内环境的生理复位,每一步诊疗都经过精准规划,在保障手术安全的前提下,最大化实现视功能修复。

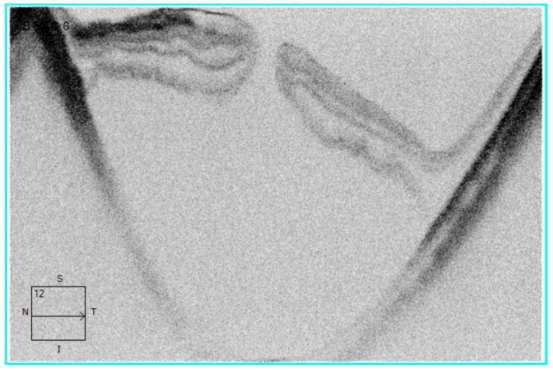
术前OCT


此次治疗取得显著成效,患者左眼解剖结构成功重建,视功能实现跨越式提升,从仅能感知手影,提升至0.12,可辨识面目、完成基本阅读,生活自理能力全面恢复,甚至困扰其数十年的高度近视问题也得到矫正,真正实现了视觉功能的“重生”。

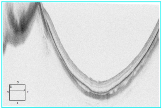
术后OCT
为表达感激之情,患者及家属向沈沛阳主任赠送了题写“医术精湛济苍生 医德高尚暖人心”的锦旗。锦旗不仅承载着患者重见光明的喜悦,也见证了医患之间的深厚信任。

长期以来,我院眼科深耕复杂眼病诊疗前沿,以精准的技术、系统的方案和温暖的沟通,为眼疾患者筑牢光明防线。未来,团队将继续秉持专业与仁心,用精湛医术为更多患者守护珍贵视界。



佛山市医师协会眼科分会常务委员
主要从事玻璃体视网膜疾病的研究,擅长白内障手术和玻璃体视网膜手术,尤其对于糖尿病视网膜病变、复杂性黄斑疾病、高度近视性黄斑病变、各类型视网膜脱离、视网膜血管阻塞和复杂性眼外伤的诊治有着丰富经验。每年完成各类复杂白内障手术、玻璃体视网膜手术及眼外伤手术超过1900例。
主持广东省医学科研基金、广东省中医药局科研项目、佛山市科技局研究基金、白求恩-默克糖尿病研究基金等多项科研课题,参与编译《视网膜 第4版》、《视网膜脱离与增生性玻璃体视网膜病变》等眼科学专著多部,近年来发表论文10余篇,其中在IOVS、Retina、JCRS、Frontiers in Medicine等国际主流眼科杂志发表SCI论文10篇。
供稿:眼科
免费地铁接驳巴士候车点

更多医院资讯 请扫码关注我们
