
36分钟急速救援

“医生,我后背疼得厉害……”
4月6日晚上,56岁的徐先生捂着背,艰难地走进市五医院医疗联合体单位枫钧专科门诊。他满头大汗,脸色发白,神色极度不适,一看就不对劲。
分诊护士立刻迎上去,一边扶住他,一边喊来了医生。绿色通道,马上开通!
10分钟内,诊断明确:急性心梗


接诊的医生迅速响应,初步判断后,立即行心电图检查,同步启动胸痛患者应急处置流程。医生将心电图反馈到胸痛联系群,会诊结果很快传回:急性前壁心肌梗死——通俗说,就是心脏最重要的一根血管堵了,随时有生命危险。
15分钟内,救护车赶到,无缝转诊
诊断明确后,诊所医护立即启动,给予患者同步吸氧,建立静脉通道,嚼服“心梗一包药”(抗血小板药物,为后续手术争取时间),同时联系佛山市第五人民医院胸痛中心。15分钟内,救护车抵达,患者被平稳转运至我院进行心血管介入手术治疗。
不到40分钟,血管开通,症状消失


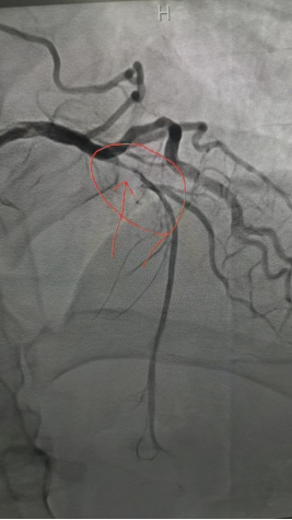
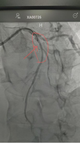
造影显示该患者为近端次全闭塞——几乎堵死了。手术团队精准操作,植入1枚药物球囊后,该患者症状立即缓解。
急性心梗有“黄金 120 分钟”之说——病发后两小时内是最佳救治时间,每耽误一分钟,就会有大量心肌细胞坏死。而从徐先生踏入卫生诊室到救护车启动转运到介入手术室治疗,响应迅速,线路完整,无缝衔接,全程不超过40分钟。
“谢谢,谢谢你们”
术后,患者状态良好,特意向我院胸痛中心团队和枫钧门诊的医护道谢。
目前,我院已与多家基层卫生诊所建立了完善、紧密的合作机制和快速的响应机制。成功打通了胸痛患者救治的 “最后一公里”,为急危重症患者开辟出高效畅通的 “区域性绿色通道”。
【特别提醒】
后背疼也可能是心梗!早期识别至关重要!很多人以为心梗就是“胸口疼”,其实不然。
典型症状:突发性的、压榨性的胸骨后疼痛,可放射至左侧肩背部、下颌、左上肢,且常伴有大汗、恶心、濒死感。
不典型症状(尤其要注意,老年人、糖尿病患者更常见):比如仅出现后背痛、胸闷、气促、心悸等不适;有的患者表现为上腹部疼痛,伴有恶心、呕吐。
在此,我们特别呼吁广大居民:如果您或家人出现上述症状,不要等,不要忍——立即拨打急救电话:0757-86891333。
相关链接:【健康科普】年轻人注意别让心梗盯上!一文读懂心梗防治与黄金急救攻略

关键时刻可救一命:
0757-86891333
文:冯志涛
一审:陈永吉
二审:李文洁
三审:温振团
声明:部分图片来源于网络,仅用作公益科普宣传,如侵删

