
"尿尿像刀割,一滴一滴往外挤,还带血……" 前几天,一位阿姨捂着肚子冲进诊室,表情痛苦到扭曲。
"医生,我这几天排尿疼得要命,尿不干净,还出血!"阿姨说。
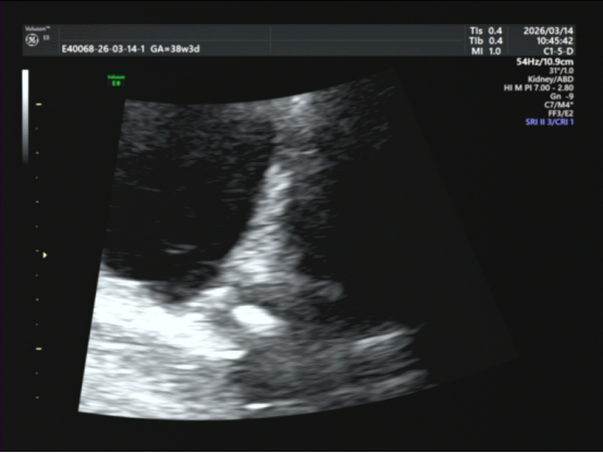
我立刻给她做了腹部超声——尿道里卡着一个强回声光团,是结石!

尿道见一强回声光团
"先去把尿排干净,回来做阴超复查。"我嘱咐道。
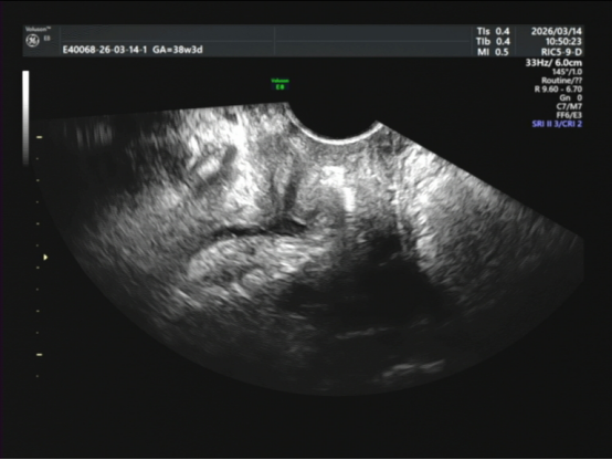
十分钟后,阿姨回来了。我惊讶地发现:石头不见了!

排尿后尿道未见明显强回声
"刚才排尿顺畅吗?看到石头出来没?"
"顺畅多了!石头?没注意看啊……"
检查结束,我低头整理器械,突然发现垫巾上躺着一颗芝麻大小的灰褐色石头。

排出的结石
"阿姨,您的'罪魁祸首'在这儿呢!"阿姨盯着那颗小石头,又气又笑:"原来就是你!害我痛了几天!"
这就是尿道结石——泌尿系统最常见的疾病之一。
原发性尿道结石:直接在尿道里"土生土长"。
特点:比较少见。
继发性尿道结石:从肾脏/膀胱"旅行"过来,卡在半路。
特点:占尿道结的大多数。
阿姨这颗,就是典型的"旅行者"——从肾脏出发,一路"闯关",最后卡在尿道"收费站"不走了。

1. 疼痛难忍
像刀割、像针扎,还会放射到会阴或直肠。
有人形容:比生孩子还痛!
2. 排尿困难
尿线细得像牙签、分叉、滴滴答答。
严重时突然尿不出来(急性尿潴留),膀胱憋得要爆炸。
3. 血尿
开头尿血、结尾尿血,或全程带血丝。
4. 尿道有硬结
医生触摸能摸到"小疙瘩",按压剧痛。
多喝水!多喝水!多喝水!
每天喝水 2.5-3升,尿量保持 2升以上
秘诀:尿液颜色像柠檬水(淡黄色)= 喝够了;像浓茶 = 喝少了!
管住嘴,结石"饿"死
❌少吃的食物:
老火靓汤、动物内脏、海鲜(高嘌呤)
菠菜、甘蓝、花生、甜菜(高草酸)
.咸菜、腌制品(高盐)
✅ 多吃的食物:
鲜蔬菜水果
优质蛋白(鱼、鸡胸肉)
柠檬水(柠檬酸抑制结石)
蹦蹦跳跳,结石"抖"出来
跑步、跳绳、游泳都能促进尿液冲刷尿道。微小结石(<5mm)靠运动+喝水,自己就能排出来!
减肥!
肥胖是结石的"温床",BMI超标的朋友要注意了。
定期体检
每年做一次泌尿系B超,小结石早发现,轻松处理不遭罪。拖久了可能引发肾积水、感染,甚至肾功能衰竭!
阿姨是幸运的——结石刚好在检查时排出来了。但很多人没这么走运,卡在尿道里不上不下,最后只能手术取石。
记住:出现血尿、排尿痛、尿不尽,别忍!赶紧去医院。
你的肾,值得被温柔以待。
供稿:超声科 吴芷珊
编辑:宣教科
审核:蔡茹汀 陈志清

