

从活动到体系:我们在做什么? 2026年3月,佛山市妇幼保健院口腔科围绕儿童口腔健康,连续开展了义诊、科普宣教、走进幼儿园一系列公益行动。看起来是几件分散的事情,其背后有一条清晰的健康传播思路:公益触达 → 女性切入 → 幼儿干预 → 儿童培养 → 家庭影响。 我们想做的是:不是等问题出现再处理,而是尽量让问题少发生。而“走进幼儿园”,正是这套体系中非常关键的一环,把口腔健康干预前移到最早阶段,从源头减少问题发生。我们努力的方向,就是把口腔健康这件事,从“看病”慢慢变成“日常管理”。


四场行动:覆盖千余名儿童
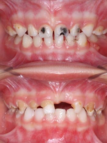
在儿童口腔健康问题中,“蛀牙”始终是最常见、也是最容易被忽视的问题之一,而涂氟是预防蛀牙的有效方法。

本次儿童口腔健康入园行动分别于3月17日、3月24日、3月27日、3月31日走进4家幼儿园,累计完成1200余人次儿童口腔涂氟。


除了“涂一下氟”,口腔科还完成了一套完整的基础口腔健康服务:口腔初筛检查(初步评估龋齿、牙齿发育情况),整个过程尽量做到:减少恐惧、提升配合度,让孩子们轻松完成检查与防护。









专业涂氟防护:增强牙齿抗龋能力
很多家长会问:孩子还小,有必要吗?
答案是:非常有必要,而且越早越好。

儿童龋齿的特点是:
发生早(甚至2–3岁就开始)
发展快(短时间内可形成龋洞)
隐蔽性强(不痛不明显,容易忽略)

而涂氟的作用是给牙齿“加一层保护盾”:
增强牙釉质抗酸能力
抑制细菌代谢
降低蛀牙发生风险

医生建议
· 3岁以上儿童建议定期涂氟(一般每3–6个月一次)
· 每天至少早晚刷牙2次,家长需协助
· 控制含糖零食频率,尤其是睡前
· 每半年进行一次口腔检查

小小解惑:涂氟安全吗?
答案是:安全。
涂氟在规范操作下非常成熟可靠,使用的是专业儿童口腔用氟制剂,剂量可控。只要孩子配合医生操作,不吞咽,一般无需担心。


把工作做在前面
在门诊,医生经常看到:很多孩子已经出现蛀牙,甚至疼了,才来就诊。
其实,这些问题本可以通过早期干预加以避免。因此,我们更愿意把工作往前做一点:在还没出问题的时候,就先做好预防。

来源:口腔科
审核:口腔科主任 王丽艳
编辑:宣教科全媒体编辑部



