
当流感遇上军团菌,再被曲霉菌“趁虚而入”——三种致命病原体同时攻向一位七旬老人的肺部。高热、呼吸困难、意识模糊……这不是一场普通的感染。近日,我院呼吸重症团队,成功救治一名流感合并军团、曲霉菌混合感染导致重症肺炎、呼吸衰竭的老年患者。
2025年12月,年逾七旬的罗阿伯(化名)正经历着人生最艰难的一役。起初以为只是发热、咳嗽,家人以为不过是慢阻肺的老毛病又犯了。可病情发展之快,超出所有人的预料——高热、呼吸困难、意识障碍、血氧饱和度持续下降、多脏器功能衰竭,情况不容乐观。
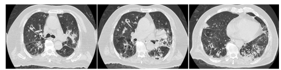
胸部CT检查结果显示“双肺多发炎症伴有空洞形成”,呼吸重症团队立即完善气管镜肺泡灌洗液病原体检查,发现元凶不止一个:军团菌、烟曲霉、甲流同时吞噬着他的双肺(图1:胸部CT)。

图1
这是一场来势汹汹的感染:军团菌导致全身中毒和呼吸衰竭,曲霉菌则喜欢在免疫力低下时“定居”并蚕食肺部形成空洞,而流感病毒则为“潘多拉魔盒的钥匙”——为以上两种病原体敞开大门。
三菌合击,招招致命。年迈且合并慢阻肺、脑梗卧床的罗阿伯病情急转直下,身体防线几近崩溃。病情进展如此迅猛,呼吸重症团队当机立断对病罗阿伯展开抢救治疗。


插管上机,抢下第一轮先机
在重症感染击打下,基础肺功能极差的罗伯呼吸衰竭持续加重,神志转差,重症团队立即予以气管插管呼吸机辅助呼吸维持氧合。与此同时,营养支持、免疫支持、脏器支持等治疗全方位跟上,抢下第一轮先机。


精准打击,组合拳围剿病原体
命暂时保住了”,真正考验才开始。重症团队迅速完善气管镜肺泡灌洗液检查,结果回报序列数极高的甲型流感病毒、嗜肺军团菌及烟曲霉感染,泌尿道屎肠球菌感染。
重症团队立即制定个体化抗感染方案,多药联用,对病原体展开全面围剿,在如此强有力抗感染“组合拳”治疗下,罗伯仍病情迁延,起效缓慢,反复发热,几经波折,重症团队动态精细调整抗菌方案,加强营养和康复支持,罗伯逐渐退热、神志转清、精神明显好转。


康复接力,28天后迎来新生
经过医护团队28天精准治疗和精心护理,罗伯终于转危为安,成功撤离呼吸机并拔出气管套管。那一刻,所有人都松了一口气。但由于罗伯长期卧床及经次重症感染一役,肺功能及肌力严重下降,后续仍需加强康复治疗。在病情稳定后,罗伯顺利转诊社区医院进行后续康复治疗。
近日,电话随访里传来好消息,罗伯现可经口进食糊状物、脱离无创呼吸机,正积极配合肢体锻炼治疗。

罗伯社区康复医院随访照片



供稿:呼吸与危重症医学科
免费地铁接驳巴士候车点

更多医院资讯 请扫码关注我们
