近日,由联影医疗自主研发的国产首款光子计数能谱CT——uCT Ultima在四川大学华西厦门医院完成装机并正式投入临床使用。这是我国首台正式商业化并投入临床使用的国产光子计数能谱CT,标志着国产超高端CT设备实现从研发到临床落地的历史性跨越。

光子计数能谱CT被视为下一代CT技术的革命方向。与传统CT相比,其采用半导体探测器,可直接对每个X光光子进行计数和能量甄别,在提升空间分辨率的同时大幅降低辐射剂量。此前,中国市场仅有一家外资企业的同类设备进入临床使用。
uCT Ultima是“十四五”国家重点研发计划重点专项取得的重大创新成果,于2025年8月25日获国家药品监督管理局批准上市。该重点专项旨在全面推动光子计数探测器和关键部件国产化,填补我国在该领域的技术空白。
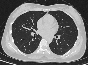
目前,华西厦门医院已基于该设备完成第一批患者扫描。华西厦门医院党委书记廖志林表示,光子计数能谱CT的临床落地实现了对国外“卡脖子”技术的突破,大幅降低了辐射剂量,让患者CT扫描更安全。临床案例显示,设备在低剂量条件下仍可实现肺结节的高清成像,临床价值突出。该设备将在医院的全链条、全生命周期健康管理服务中发挥重要作用。

联影uCT Ultima扫描的0.2mm肺部超高清成像,扫描剂量低至0.1mSv
联影医疗CT事业部总裁杜岩峰介绍,联影医疗研发团队进行了大量的技术攻坚。“该设备在实现超高分辨率成像时,探测器像素面积减小至传统设备的1/9,可呈现更细微的病变结构。同时,通过创新的校正算法和重建算法,解决了像素面积减小导致的信号强度降低问题,在抑制噪声的同时保证图像质量。”针对光子计数能谱CT大数据量处理的技术难点,联影研发团队也进行了全面技术创新,已实现全准直覆盖的超高分辨率与能谱同时成像,为心脏等需要大范围覆盖的检查提供了技术支撑。
“随着该设备在医院健康管理中心的落地应用,厦门及闽南地区患者有望在本地享受到更高精度、更高效率的影像检查服务。”华西厦门医院院长龚启勇指出,肺结节等疾病的患者往往需要多次CT检查,累积辐射剂量常引起患者顾虑,而光子计数能谱CT的极低辐射剂量能让居民更安心地进行健康体检。
龚启勇表示,华西厦门医院力争成为国家区域医疗中心中的标杆单位,国产首台光子计数能谱CT的落地既为医院特色优势技术提供了关键支撑,也将切实减轻患者跨区域就医负担,推动优质医疗资源惠及区域群众。
此前,由联影医疗作为企业牵头、上海交通大学医学院附属瑞金医院作为医院牵头的“光子计数能谱CT推广应用项目”,已入选国家工业和信息化部、国家卫生健康委员会、国家药品监督管理局三部委联合公示的“2025年高端医疗装备推广应用项目”名单,旨在推进国产光子计数CT的临床应用研究与推广,形成“应用示范—临床评价—迭代升级—辐射推广”的闭环。
南方+记者 严慧芳