

挑战来临
近日,一名老年患者因反复腹痛到我院普外科就诊,经检查后诊断胆囊炎。要彻底解除痛苦就得进行腹腔镜下胆囊切除术。但是术前常规检查发现了一颗“沉睡”的“定时炸弹”——心脏彩超显示左心室内存在一块“高危”的附壁血栓,直径超过1.5cm。
一旦心脏的“炸弹爆炸”—即血栓脱落,会随血流进入脑血管,导致脑卒中;也可能进入冠脉,引发急性心肌梗死,后果不堪设想。
患者及家属起初因手术麻醉风险高选择保守治疗,奈何保守方案效果欠佳,胆囊炎反复发作难以忍受,最终决定冒险手术。
那如何确保手术安全,就成为该患者手术麻醉的首要难题。
迎难而上
面对挑战,以吴先平主任带领的麻醉科团队进行科内讨论及组织多学科会诊。经过充分评估,团队决定迎难而上,并制定了一套以“实时监测、全程护航”为核心的安全预案,即术中实施持续经食道超声心动图(TEE)监测。
术中持续TEE技术被誉为麻醉医生的 “第三只眼”,它将一个微型超声探头经口置入患者食道,紧贴心脏后方,可提供比传统胸外超声更清晰、更稳定的心脏结构和血流动态图像。在此次手术中,TEE被赋予了三大核心使命:
实时监控血栓的“一举一动”:全程动态观察左心室血栓的大小、形态、活动度及附着位置,及时发现血栓的细微变化,主要针对两类人群,一类是术前已存在血栓的患者,另一类是血栓高发人群。
精准评估心脏的“工作状态”:实时监测心室收缩与舒张功能,指导麻醉医生精准调整药物,维持最稳定的血流动力学,为心脏这个“发动机”减负,主要针对术前评估为高风险的人群。
优化术中的“生命支持”:即时评估容量状态,指导液体治疗,避免心脏负荷过重或不足,如肝脏切除手术等预测术中血压波动明显的手术。

彭浩彬主治医师执行TEE监测

术中持续监测TEE
步步为营
手术当日,在麻醉科彭浩彬主治医师的操作下,TEE探头顺利置入。清晰的超声图像实时显示在大屏幕上,将心脏的每一次搏动、血栓的所有细节都尽收眼底。
气腹与体位变动期:这是最易引起血压波动、心脏负荷变化的阶段。TEE实时显示心腔大小和收缩力的微妙变化,麻醉团队据此调整血管活性药物,将血压、心率牢牢控制在安全窗口内。
手术关键操作期:TEE始终锁定左心室,确认血栓无任何移位或脱落迹象,为外科医生创造了安心操作的环境。
在TEE的全程“导航”与麻醉科团队的严密护航下,手术顺利完成,患者安全返回病房。术后复查显示,心脏血栓稳定,患者恢复良好,未出现任何心脑血管并发症。

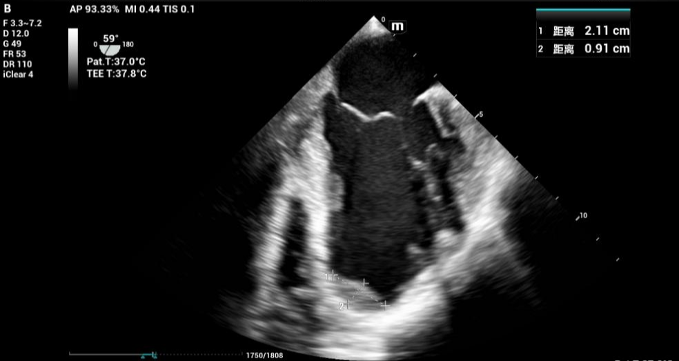
术中TEE监测下测量的血栓大小




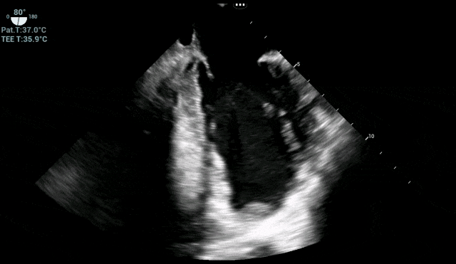
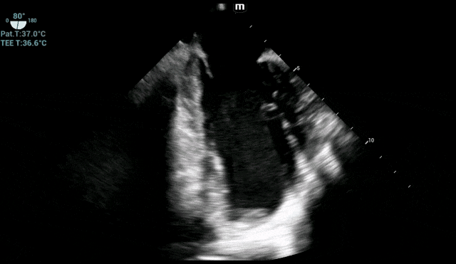
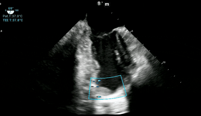
术中各时间段实时TEE监测心脏血栓情况
技术赋能
此次手术的成功,是我院 “以患者为中心,以技术为驱动” 诊疗理念的生动实践。广州中医药大学顺德医院麻醉科自2022年引进TEE技术,目前已常规开展,在本地区处于领先水平,标志着我院麻醉科近年来利用麻醉新技术及精细化的麻醉管理为更多高危病人成功实施了麻醉。未来,我院麻醉科将继续深化围手术期超声可视化技术的应用,使更多高危、复杂手术患者在“第三只眼”的守护下,获得更安全、更舒适的医疗体验,为医院高质量发展筑牢安全底线。


麻醉科彭浩彬主治医师于浙江大学医学院附属第二医院完成经食道超声心动图(TEE)专科进修
麻醉科简介

广州中医药大学顺德医院麻醉科成立于1983年,经过30多年的不懈努力,在麻醉技术、人员素质、仪器设备等各方面不断得到加强和提高,现已发展成为集临床麻醉、重症监测、急救复苏及疼痛治疗为一体的二级学科和一级临床科室。承担着全院十多个科室临床麻醉、重症病人监护与治疗和疼痛诊疗业务(包括术后镇痛、无痛人流和无痛胃肠镜检查等)。麻醉科技术力量雄厚,现有麻醉医师26名,麻醉护士6名。其中主任医师3名,副主任医师9名,主治医师10名,住院医师4名。拥有各种先进的麻醉机、监护仪、血气分析仪,并且配套有麻醉前准备室 及麻醉后复苏室(PACU)。每个手术间均配备世界先进的Drager、Ohmeda等麻醉机及多功能监护仪,拥有Nacotrad麻醉深度监护仪、Philip心电监测除颤仪、纤维支气管镜、视可尼喉镜以及经食道超声心动图(TEE)等设备,能满足各类复杂手术病人的麻醉需要。

医生介绍

彭浩彬
主治医师

简介:医学硕士,麻醉学主治医师。现任广东省研究型医院学会麻醉学专委会委员和佛山市医师协会麻醉科医师分会委员。曾到武汉华中科技大学附属同济医院、浙江大学医学院附属第二医院进修区域神经阻滞和经食道心脏超声心动图(TEE)。主要研究方向是可视化超声技术在麻醉围术期中的应用(术前区域周围神经阻滞和TEE),主持佛山卫生局课题1项,佛山科技局课题1项和广东省卫生健康适宜推广技术项目1项。
审核专家

吴先平
主任医师
麻醉科主任

对痛症诊断思路清晰,判断精准。主治颈椎病、颈源性头痛、肩周炎、腰椎间盘突出症、带状疱疹后遗神经痛、三叉神经痛、癌性痛、肌筋膜软组织痛。采用小针刀整体松解术+手法整复治疗各型颈椎病,效果显著且稳定。
简介:医学硕士,教授,硕导。佛山市医师协会麻醉科医师分会主任委员、广东省中西医结合学会麻醉学分会副主任委员、广东省医学会麻醉学分会委员、广东省医学会麻醉治疗学会常委、广东省医学会疼痛学分会常委、广东省精准医学应用学会麻醉分会常委、顺德区医学领军人才(三类)。
从事临床麻醉及疼痛治疗工作30年,擅长老年危重症麻醉管理,研究方向为慢性神经病理性疼痛及癌性疼痛。《术后疼痛预测模型的建立及评价》等5项课题分别获广东省卫生厅及广东省中医药管理局立项资助,发表论文20余篇(SCI收录2篇),《急诊麻醉学》副主编,实用新型专利2项。
END
撰稿 | 麻醉科温嘉筠 彭浩彬
指导 | 吴先平韦志军
编辑 | 杨咏仪
编审 | 米海容
审核 | 李恒寿



广州中医药大学顺德医院新城院区(大良南江新中路4号)