
近日
佛山市二医院甲状腺疝血管小儿外科
有一位“另类”的病人
他因为胸闷伴吞咽不适住院
本以为是常见的心肺问题
没想到胸部CT显示:
一肿物压迫气管偏移
竟是胸内甲状腺肿所致!

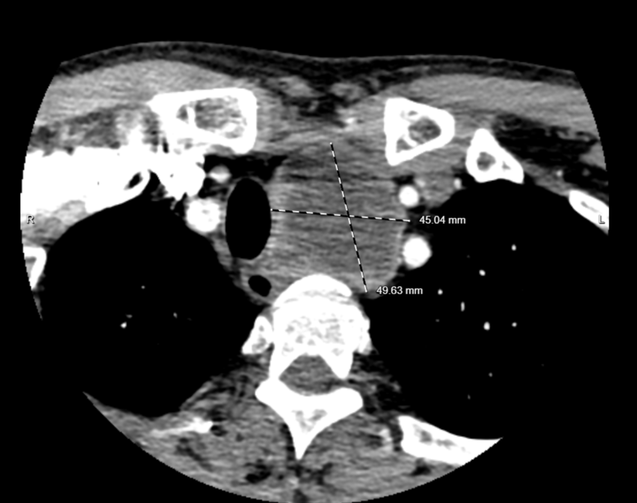
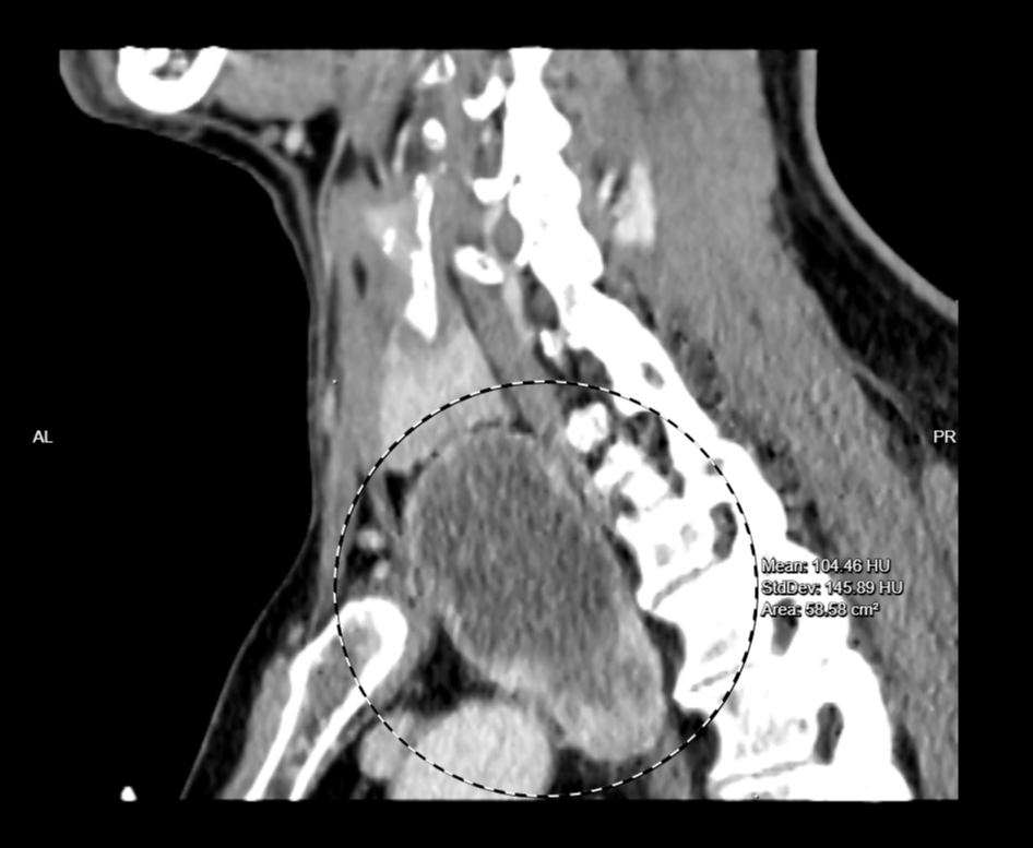
检查见肿物较大,位于主动脉弓后方水平,已压迫气管、食管使其移位,最大直径约5.0cm,未排除神经鞘瘤可能。


患者叶先生(化名)有糖尿病,“肿物大且位置深,手术治疗对有糖尿病基础的病人来说可能创伤太大了,恢复起来也困难。”甲状腺疝血管小儿外科黄文主任看着检查报告,思考如何在完整切除肿瘤的同时,最大限度降低风险,这成了团队急需解决的难题。
为了给叶先生更好的治疗方案,甲状腺外科联合胸外科、麻醉科、重症医学科、CT影像科等多学科讨论协助,决定实施经颈部入路常规开放手术、备开胸肿瘤切除。
术前,甲状腺外科提前协调备血,沟通手术室配置血液回收机,以应对可能的大出血;麻醉科团队完成桡动脉穿刺置管测压,搭建起生命监测防线,为手术安全保驾护航。
手术当天,黄文主任完成经颈常规手术切口、双侧甲状腺次全切除后,向胸骨后探查见一结缔组织包裹,分离见为甲状腺组织,初步排除了神经鞘瘤可能,亦提示了无与上方正常甲状腺组织相连,为胸内异位甲状腺肿!经密切配合,精准分离肿物与周围大血管、气管、胸膜粘连,同时保护重要神经功能,完整将肿瘤切除、经颈部伤口取出,避免了开胸手术。
术后,叶先生恢复顺利,无出现并发症,胸闷及吞咽不适感无没再出现,短短4天便顺利出院。
科普时间
胸内甲状腺肿
早发现、早干预是关键
胸内甲状腺肿是甲状腺部分或全部坠入胸腔形成的病变,多由颈部甲状腺肿大下移或胚胎期甲状腺组织残留引起。主要症状为压迫周围器官导致的呼吸困难(86%患者)、吞咽困难、声音嘶哑等,需手术切除解除压迫。

核心病因与分型
1、坠入型(95%):颈部甲状腺肿因重力、胸腔负压下坠至胸骨后,血供来自甲状腺血管。
2、迷走型(5%):胚胎期甲状腺组织残留纵隔内,与颈部无关联,血供来自胸内血管。
典型症状
压迫症状:
潜在风险:
5%-15%可能恶变(如甲状腺癌)
肿物内出血可致急性窒息(需急诊处理)

预后与预防
术后效果:
良性肿物切除后症状显著缓解,恶性需结合放化疗(5年生存率约64.7%)。
预防建议:
合理补碘(食用加碘盐),避免接触放射性物质。
定期体检(颈部B超),尤其40岁以上女性、有家族史者。 若出现突发呼吸困难或颈部肿块快速增大,请立即就医。早期干预可避免气管软化等严重并发症,多数患者术后生活质量显著改善。
甲状腺疝血管小儿外科

供稿 | 甲状腺疝血管小儿外科 罗中范
佛山市第二人民医院全媒体团队出品
点击下方公众号名片即可在线挂号:


