
近日,南方医科大学第八附属医院(佛山市顺德区第一人民医院)泌尿外科上演了一场惊心动魄的“保肾战”。
由泌尿外科副主任黄韬领衔的专家团队,凭借精准的微创技术和成熟的多学科协作模式,成功为一名左肾长有巨大恶性肿瘤并新发糖尿病患者实施高难度的保留肾单位手术。这场手术不仅完整切除了直径近10厘米的肿瘤,更保留了患者左肾51%的功能,实现了疗效与生活质量的双重保障。
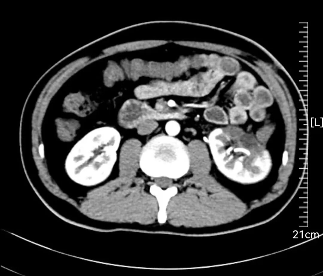
患者文先生在一次常规体检中,意外发现左肾存在一个巨大占位。进一步的增强CT检查结果令人倒吸一口凉气:一个大小约93×82×90mm的类圆形肿瘤从肾脏突出,位置极其凶险,紧贴着肾门部的大血管和集合系统。经专业评估,该肿瘤R.E.N.A.L评分高达11分,属于“高度复杂”级别。


雪上加霜的是,入院检查时,文先生的空腹血糖高达14.9mmol/L,糖化血红蛋白高达12.1%,被确诊为新发2型糖尿病。 这无疑给本就高难度的手术设下了又一重障碍。高血糖状态会显著增加手术感染、伤口不愈合及各种并发症的风险,使得保肾手术的围手术期管理变得异常复杂。
面对双重挑战,黄韬主任启动了多学科协作诊疗模式,马上召集相关科室,泌尿外科、内分泌科、麻醉科、影像科的专家们迅速集结,共同为文先生制定了个体化的“精准作战图”。

其中,内分泌科的快速介入成为手术成功的关键一环。 他们通过动态血糖监测,为文先生制定了“基础+餐时”胰岛素泵强化治疗方案,并辅以科学的饮食指导。在短短5天内,就将他的血糖稳定地控制在了安全范围内,为手术的顺利实施铺平了道路,充分彰显了我院在复杂慢病协同管理方面的卓越能力。
在血糖达标后,手术如期进行。黄韬主任主刀,展现了团队在复杂手术中高超的技术水准和临场应变能力。手术没有拘泥于单一术式,而是采用了“腹腔镜探查+开放手术”的复合微创技术。

团队首先在腹腔镜下精细地分离组织,显露肾门并预置血管阻断带,做好了万全准备。当处理到肿瘤深部、与肾动脉分支粘连紧密的“核心危险区”时,黄韬主任果断决策,无缝切换为开放手术,以毫米级的精度在狭小的空间内精细操作,最终将肿瘤完整剥离,并成功避免了肾门血管和集合系统的损伤。
术后病理证实为肾透明细胞癌,且切缘为阴性,意味着肿瘤被彻底根除。更令人欣喜的是,术后4周复查显示,文先生左肾的肾小球滤过率保留在28ml/min,这意味着有高达51%的左肾功能被成功保留了下来! 他术后第一天即可下床活动,恢复迅速,目前已顺利出院。这次手术完美达成了国际公认的保肾手术“三连胜”目标:肿瘤切净、肾功能最大程度保留、无严重并发症。


在术后恢复期间,医疗团队每日查房,密切监测文先生的肾功能恢复、伤口愈合及血糖情况,及时调整治疗方案。医护人员的精心照护与专业指导,让文先生和家属倍感温暖。出院时,文先生和家属激动地握着黄韬主任及团队成员的手,再三表示感谢。“发现这么大的肿瘤,我觉得天都塌了!是黄韬主任和这里的全体医护人员给了我信心,他们技术高超,每一步都解释得清清楚楚,对待我们像家人一样,每一个细节都想得非常周到,让我们感到非常安心。你们不仅救了我的命,还保住了我的肾脏,这份恩情我们全家永远铭记!”

黄韬主任医师在总结此案例时指出:“本例手术的成功,依赖于两大支柱:一是‘腹腔镜联合开放’的复合微创技术体系,让我们能灵活应对术中各种复杂情况;二是成熟的围手术期多学科协同管理,特别是内分泌科的强力支持,确保了患者能以最佳状态接受手术。”
近年来,南方医科大学第八附属医院泌尿外科团队持续深耕泌尿系肿瘤的个体化、精准化、微创化诊疗,并强化与兄弟科室的联动,构建了“肿瘤-慢病”一体化管理路径。此例极高难度肾癌保肾手术的成功,标志着我院泌尿外科在复杂疑难疾病的综合诊疗能力上已跻身区域领先水平,为众多高危患者带来了新的生机和希望。
(部分图片由AI生成)

供稿:泌尿外科 廖春贤
编辑:陈书翘
责编:李述言
审发:蒋红霞

关注“南方医科大学第八附属医院”视频号
每日了解最新医疗科普
▼
