“十几岁时摔了一跤,当时没当回事,没想到这是个‘定时炸弹’。”近日,来自辽宁的30岁张女士(化名),因右手腕陈年旧伤突发剧痛、多方求医无果,不远千里从东北奔赴广东顺德,顺德和平外科医院团队通过精准微创手术成功为其“拆弹”。
患者术前的手腕畸形。
一场被忽视的摔伤 埋下十余年隐患
据张女士回忆,她在十几岁时不慎摔伤右手手腕,当时剧痛难忍,活动受限,她和家人都以为是普通的“脱臼”,于是就近在当地医院进行了简单的复位处理,并未做进一步深入检查。
“当时想着骨头没断,能活动了就行,谁能想到这一摔的麻烦藏在后头。”张女士懊悔道。
随着时间的推移,张女士的右手腕逐渐出现了畸形,手腕处骨头外突,但由于疼痛感不明显,日常功能影响不大,这个隐患便被长期搁置。
直到近几个月,张女士的右手腕疼痛突然急剧加重,生活受到了很大影响。她辗转当地多家医院求医,始终未能得到有效治疗。几经打听,得知顺德和平外科医院在手显微外科与腕关节微创治疗领域技术精湛,张女士当即下定决心,跨越千里赶赴顺德求医。
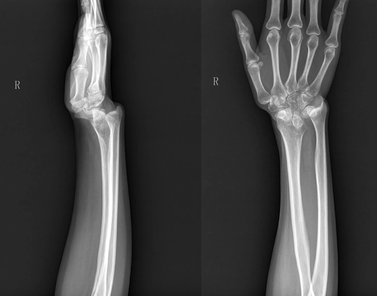
患者的术前X光影像。
多学科精准“拆弹” 直击复杂腕伤难题
接诊张女士的是顺德和平外科医院首席专家、被誉为“顺德医生楷模”的张敬良博士。经详细检查发现,由于当年张女士的桡骨远端骨折未得到规范治疗,出现桡骨短缩畸形,进而引发连锁病变。张女士最终确诊为尺骨撞击综合征、三角纤维软骨复合体损伤、下尺桡关节脱位等多项复杂合并症。
“她的手腕就像一个被‘震歪’的地基,桡骨短了,尺骨相对就长了,多出来的尺骨像锤子一样,日积月累撞击、磨损腕骨和软骨,直到把里面的‘零件’都撞坏,疼痛才会爆发。”对张女士病情的发展过程,张敬良博士形象地打了个打了比喻。
关节镜辅助下手术。
针对这一复杂情况,张敬良博士及手三区刘敏腕关节外科团队为其制定了精准的手术方案:通过尺骨截骨短缩从根源上解除撞击,同时在关节镜辅助下行三角纤维软骨复合体重建修复、关节清理术,并辅以PRP治疗促进组织再生。
“这个手术的难点在于,患者的病程太长,解剖结构已经改变,软组织条件也不好。我们不仅要重建骨骼的力学平衡,还要修复关节内的软组织结构,这样才能既解决疼痛,又保证手腕的功能。”张敬良博士在术后表示。
患者的术后挺手腕外观。
微创术解除顽疾 仁心重塑“腕”美人生
目前,张女士术后恢复良好,困扰她多年的腕部疼痛已基本消失。她感慨道:“疼了这么多年,现在终于轻松了。非常感谢张博士和医院,让我的右手又能正常活动了。”
结合这一典型案例,张敬良博士特意提醒广大市民,日常生活中发生的关节损伤切莫掉以轻心。他特别指出,很多人受伤后,觉得能活动就以为只是简单的损伤,这种观念很容易延误病情。
“关节结构精细,轻微的骨折或错位早期可能难以发现,如果处理不当,就会像张女士这样留下远期后遗症。”张敬良建议,受伤后若出现关节疼痛、肿胀或活动受限,即使症状不严重,也应第一时间到正规医院进行详细检查,必要时做CT或核磁共振以排除隐匿性损伤。“早发现、早诊断、早治疗,是避免‘小伤’拖成‘大病’的关键。”
文/顺德融媒记者吴小镛
图/医院提供

